Service

All-on-X Dental Implants in Roslyn, NY

BRIGHT SMILES FOR A LIFETIME

about

A Permanent Solution for Complete Smile Restoration

A complete smile doesn’t just change the way you look, it transforms the way you live. Rediscover comfort, confidence, and lasting oral health with all-on-x dental implants at Iconic Smiles Roslyn. Whether you’ve lost multiple teeth or are frustrated with traditional dentures, this revolutionary treatment offers a permanent, natural-looking solution that restores both function and beauty.

Unlike removable dentures, all-on-x dental implants secure a full arch of teeth using just four to six titanium posts strategically placed in the jawbone. The result is a fixed restoration that looks, feels, and functions like your own teeth, allowing you to smile, speak, and eat freely again.

All-on-X

What Are All-on-X Dental Implants and How Do They Work?

All-on-x dental implants are a modern approach to full-arch restoration, designed for individuals seeking a long-term alternative to dentures. Instead of replacing each missing tooth individually, this technique supports an entire arch of prosthetic teeth on as few as four implants.

The secret lies in precision placement. Iconic Smiles Roslyn utilizes advanced 3D imaging for precise bone structure mapping, allowing our implant specialists to identify optimal anchor points. The posterior implants are angled strategically to maximize bone contact and stability, often eliminating the need for bone grafting. Once the implants are placed, a customized temporary arch is attached, so patients can leave our office with a full, functional smile on the same day.

Over the following months, the implants naturally integrate with the bone through a process called osseointegration, creating a permanent foundation. When healing is complete, your final restoration is secured – a lifelike, beautifully designed set of teeth that blends seamlessly with your facial features.

Who Can Benefit

Who Can Benefit from All-on-X Dental Implants in Roslyn

If you’ve been searching for all-on-x dental implants near me, you’re likely looking for a more stable and natural alternative to removable dentures. This solution is ideal for individuals who:

  • Have lost multiple teeth or a full arch due to decay, trauma, or gum disease
  • Struggle with ill-fitting dentures or difficulty chewing
  • Want a fixed, maintenance-free option
  • Have sufficient jawbone density or are candidates for minor bone grafting

 

All-on-x dental implants in Roslyn offer freedom from adhesive pastes, slipping dentures, and the constant worry of removing them nightly. Patients regain full chewing power, improved speech clarity, and renewed confidence. Even better, these implants help preserve bone structure and prevent the facial collapse often associated with long-term tooth loss.

Iconic Smiles Roslyn personalizes every dental implant service to suit your needs, ensuring your new smile feels as natural as it looks.

What to Expect

What to Expect During the All-on-X Dental Implant Process

Your journey begins with a comprehensive consultation and digital assessment. During this initial visit, our dental team evaluates your oral health, bone structure, and smile goals. This step allows us to create a custom treatment plan tailored to your anatomy and expectations.

The all-on-x dental implant procedure typically unfolds in the following stages:

  1. Consultation & Imaging – A thorough evaluation with digital scans and 3D imaging.
  2. Treatment Planning – A detailed design of your new smile, including implant placement and restoration design.
  3. Implant Placement – Four to six implants are strategically positioned for maximum support.
  4. Temporary Prosthesis – You leave the same day with a temporary but functional arch of teeth.
  5. Healing & Integration – Over a few months, the implants fuse naturally with your jawbone.
  6. Final Restoration – A custom, permanent bridge is attached, offering comfort, strength, and aesthetics.

Throughout this process, patient comfort is our top priority. Sedation options, precise digital planning, and advanced surgical protocols make the experience smooth and stress-free. For many patients, this is the most transformative dental implant treatment they’ll ever undergo – a true reset for their smile and confidence.

Dental Care

Where All-on-X Dental Implants Fit Into Comprehensive Dental Care

Iconic Smiles Roslyn views all-on-x dental implants as more than just a standalone solution; they are an integral part of a broader philosophy encompassing restorative and holistic care. Full-arch implants not only replace missing teeth but also restore oral harmony, facial balance, and long-term health.

By stabilizing the jawbone and preventing deterioration, all-on-x dental implants in Roslyn protect your facial profile and reduce the risk of future complications. They’re a natural next step for patients who have undergone extractions, gum therapy, or other dental implant service procedures and are ready for a permanent, integrated solution.

Our dentists also ensure your new restoration complements other aesthetic treatments, such as whitening, veneers, or orthodontics, for a complete and cohesive smile transformation.

why choose us

Why Patients Choose Iconic Smiles for All-on-X Dental Implants in Roslyn

Choosing where to receive all-on-x dental implants in Roslyn is just as important as choosing the treatment itself. Iconic Smiles combines artistry, technology, and compassion to deliver results that feel as remarkable as they look.

Here’s why patients trust us for this advanced procedure:

  • Expertise and Precision: Our skilled implant dentists have extensive experience in complex full-arch restorations.
  • Cutting-Edge Technology: We use 3D imaging, digital scanning, and same-day crown technology for unmatched accuracy.
  • Personalized Care: Every case is planned individually, no generic templates or one-size-fits-all designs.
  • Holistic Focus: We consider bone health, gum condition, and overall wellness in every step of your care.
  • Comfort and Convenience: Modern sedation options and a serene clinical environment ensure a relaxed experience.

From your first consultation to your final smile reveal, Iconic Smiles Roslyn makes every step seamless, supportive, and truly life-changing.

Get Started

Take the First Step Toward a Confident Smile

Your dream smile is closer than you think. If you’re tired of removable dentures or missing teeth and are ready to restore your confidence, schedule a consultation for all-on-x dental implants in Roslyn today.

Our friendly team at Iconic Smiles Roslyn will walk you through every detail – from candidacy and financing to aftercare and maintenance, so you can make an informed decision about your smile.

Experience the transformation that thousands of patients have already embraced. Discover why so many searching for all-on-x dental implants near me choose Iconic Smiles for expert precision, long-lasting results, and compassionate care.

Your new smile starts here. Let’s make it iconic.

FAQs

FAQs About All-on-X Dental Implants in Roslyn, NY

How long do All-on-X dental implants in Roslyn last?

With proper care and maintenance, All-on-X dental implants in Roslyn can last 20 years or longer. The implants themselves are designed to fuse permanently with your jawbone, providing exceptional durability. Routine checkups and good oral hygiene ensure your restoration remains strong, stable, and beautiful for decades.

For Iconic Smiles Roslyn, comfort is always a top priority. The All-on-X dental implant procedure is performed under local anesthesia or sedation, ensuring a virtually painless experience. Most patients report only mild soreness for a few days, similar to other dental implant treatments, which is easily managed with prescribed medication.

Traditional implants replace each tooth individually, while All-on-X dental implants restore an entire arch using as few as four implants. This approach minimizes surgery time, eliminates the need for bone grafting in most cases, and allows same-day results. It’s one of the most efficient and cost-effective dental implant services available today.

Most patients can enjoy soft foods within 24 hours of their procedure. Thanks to the stability of All-on-X dental implants in Roslyn, you can eat, smile, and speak with confidence almost immediately. Once your implants fully integrate with your jawbone, you can return to your normal diet without restrictions.

If you’re searching for All-on-X dental implants near me, look no further than Iconic Smiles Roslyn. Our experienced team specializes in advanced dental implant treatment, combining precision technology and compassionate care to deliver long-lasting results. Schedule your consultation today to explore how we can rebuild your smile permanently.

Patient Care

Financing Made Simple

Dental Credit Card and dental financing options

We want to make your experience as simple and stress-free as we can since we appreciate how challenging selecting a dental facility can be. Here are a few reasons for choosing us

Cherry Payment Plans - Treat Now. Pay later.

We want to make your experience as simple and stress-free as we can since we appreciate how challenging selecting a dental facility can be. Here are a few reasons for choosing us

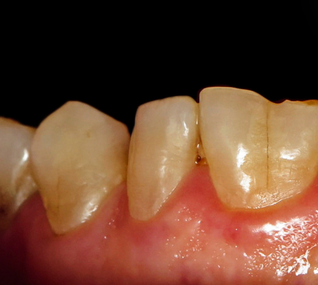
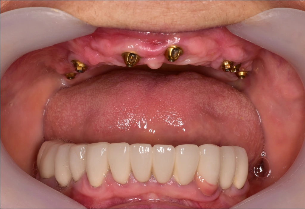
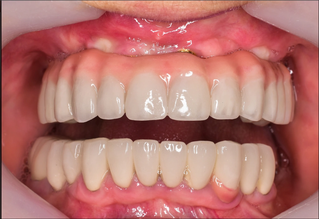
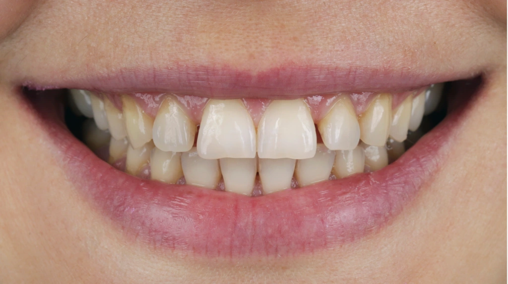
Gallery

Smile Transformations

Explore real patient results — from subtle cosmetic enhancements to complete smile transformations.
AdobeStock_271071583-2 AdobeStock_271071583-1
Before
After
AdobeStock_271071430-2 AdobeStock_271071430-1
Before
After
AdobeStock_514491818-2 AdobeStock_514491818-1
Before
After